Scottsdale Cosmetic Dentistry
Jeffrey D. Clark, DDS

Smile Makeover from Scottsdale Cosmetic Dentistry

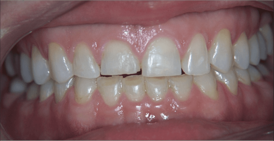
Veneers – Before & After in Scottsdale

This patient wanted a more even, whiter smile. With custom porcelain veneers, we corrected discoloration and minor imperfections, resulting in a smooth, natural-looking transformation that enhances both confidence and appearance.

Veneers in Scottsdale- before photo Veneers in Scottsdale- after photo
Have Questions? Get in Touch
If you have difficulty using our website, please email us or call us at (480) 585-1853
View the ADA Accessibility Statement