Scottsdale Cosmetic Dentistry
Jeffrey D. Clark, DDS

Full Smile Makeover in Scottsdale

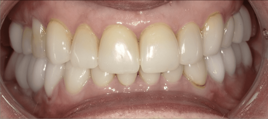
Dental Crowns – Before & After

This patient came to us with worn teeth. Using custom porcelain crowns, we restored strength, function, and aesthetics—creating a natural-looking, durable smile transformation.

dental crowns in scottsdale- before photo dental crowns in scottsdale- after photo
Ready to book an appointment?
If you have difficulty using our website, please email us or call us at (480) 585-1853
View the ADA Accessibility Statement