Scottsdale Cosmetic Dentistry
Jeffrey D. Clark, DDS

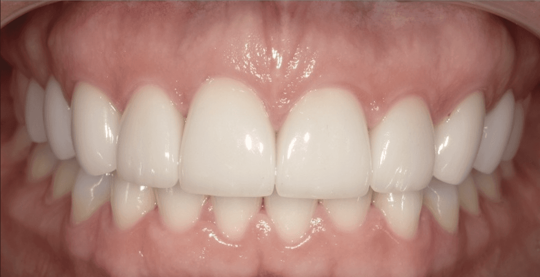
CEREC Dental Crowns

CEREC Dental Crowns – Before & After

This patient needed a fast, durable solution for a damaged tooth. Using same-day CEREC technology, we designed and placed a custom crown in a single visit—restoring strength, function, and a seamless, natural look.

dental crowns in scottsdale- before photo dental crowns in scottsdale- after photo
Ready to book an appointment?
If you have difficulty using our website, please email us or call us at (480) 585-1853
View the ADA Accessibility Statement